Bøjler og tandregulering
Har dit barn skæve tænder eller forkert sammenbid, så kan der være brug for bøjler.



Tandregulering
Tandlægen ser på tandstilling og sammenbid ved de regelmæssige tandeftersyn. Hvis dit barn har skæve tænder eller forkert sammenbid, vurderer vores specialtandlæge, om vi kan tilbyde tandregulering.
Hvis dit barn skal have bøjler, sender vi en indkaldelse og starter behandlingen på det bedste tidspunkt i forhold til vækst og tandstillingsfejl.
Tandregulering er et tilbud, som du kan takke ja eller nej til. Takker du nej, er tandplejen ikke forpligtiget til at give et nyt tilbud senere.
Se mere i Sundhedsstyrelsens vejledning og krav om kommunal tandpleje (side 19-26).
Tandregulering tager ofte lang tid med mange besøg på klinikken. Det stiller store krav til barnet. Det er nødvendigt med støtte fra hjemmet, f.eks. til at passe tandbørstning og mødetider.
Inden behandlingen begynder, giver vi en grundig information, så I kan overveje kravene til at gennemføre behandlingen sammen med jeres barn.
Første besøg på klinikken
På det første besøg på klinikken undersøger vi forskellige ting, så vi kan planlægge, hvilken type bøjle, der vil være bedst:
- Vi tager fotos af tænder og ansigt.
- Vi laver aftryk af over- og underkæben og vokssammenbid til fremstilling af gipsmodeller eller en scanning af tænderne.
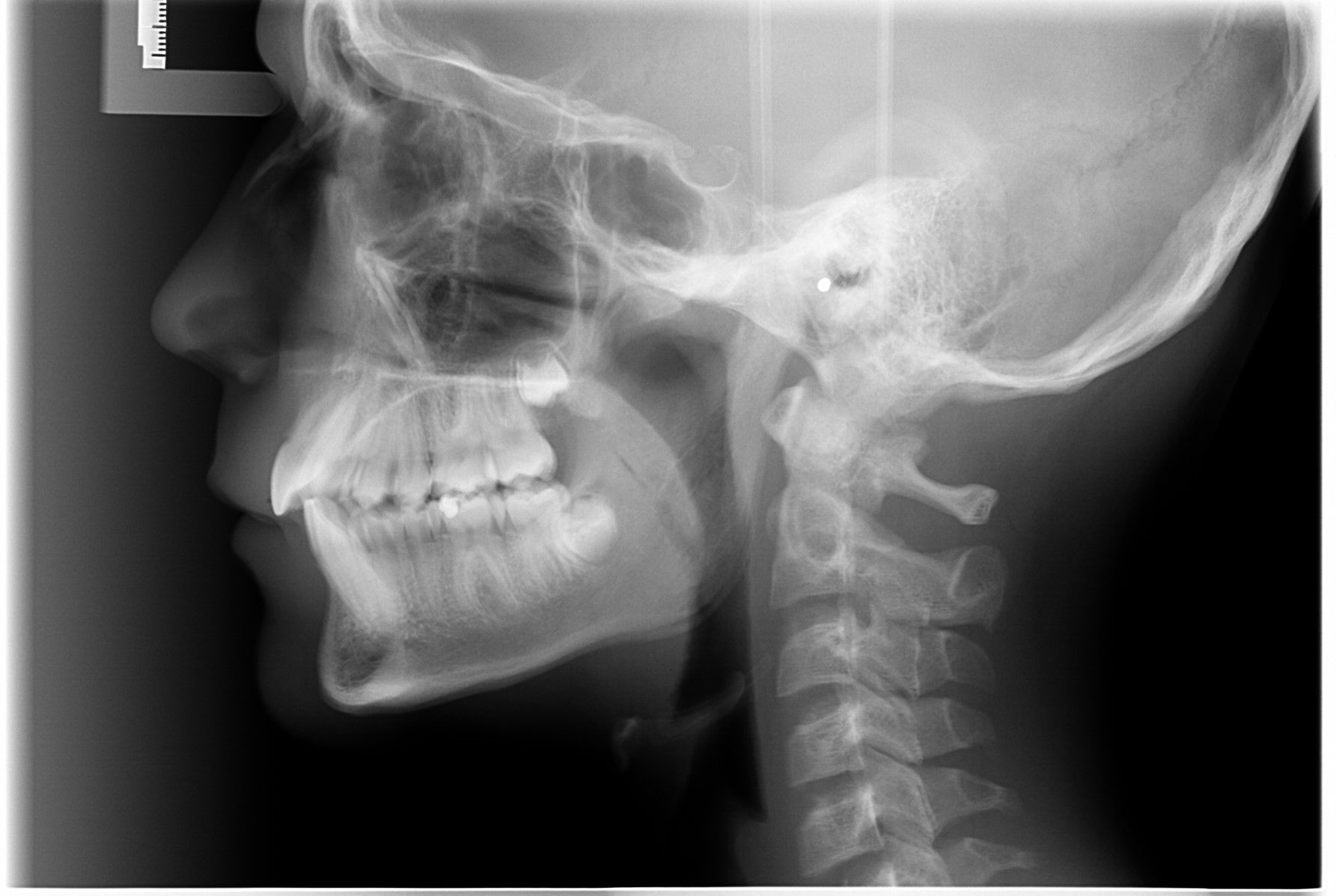
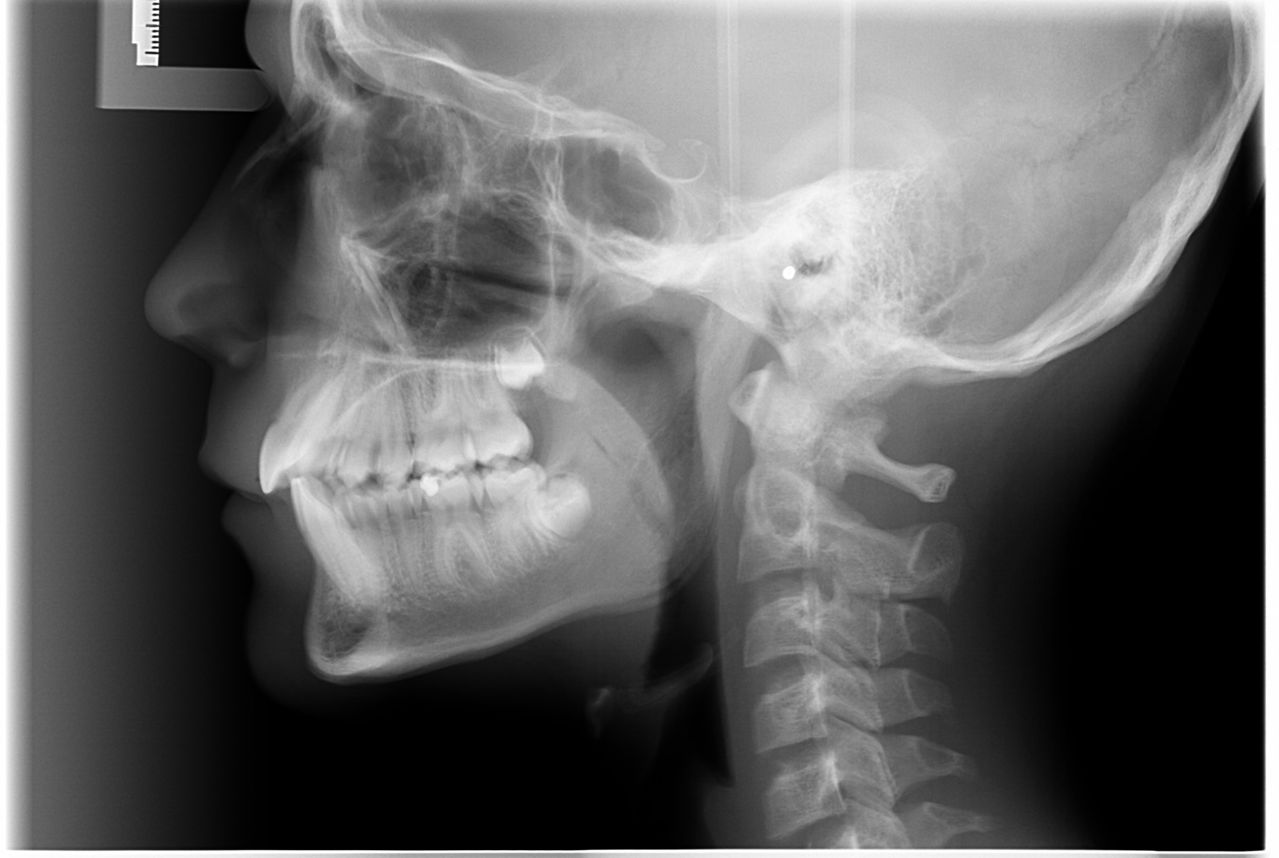
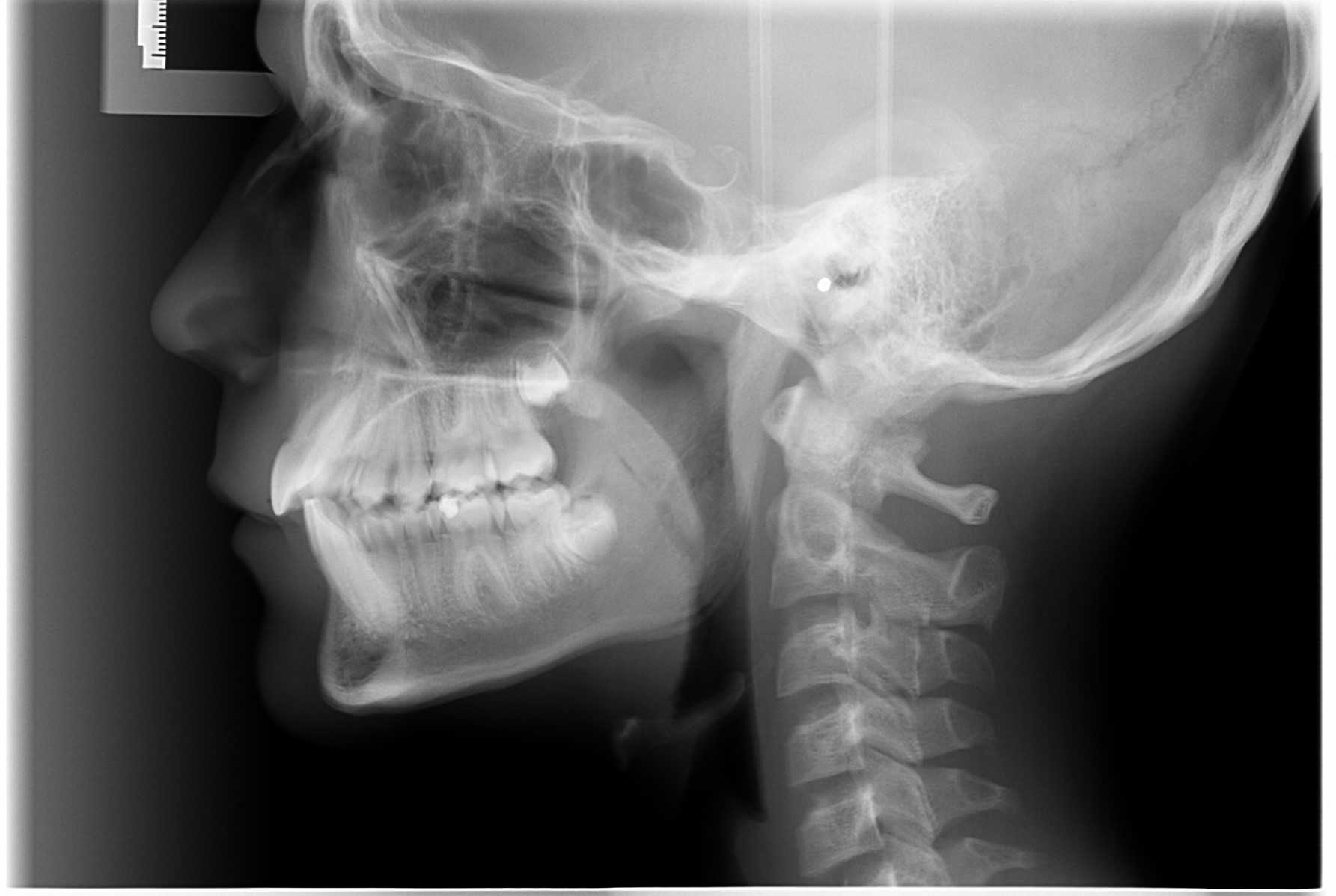
- Vi tager røntgenbilleder af tænder, kæber og hoved.
- Vi spørger ind til barnets generelle helbred, og om der er nogle hensyn, vi skal være opmærksomme på.
Andet besøg på klinikken
Andet besøg hos os er en samtale, hvor vi gennemgår behandlingsplanen:
- Vi fortæller, hvilken type bøjle der er nødvendig, risici ved behandlingen og forventet behandlingstid.
- Vi fortæller også, om der skal bruges holdebøjler og/eller tråde efter tandreguleringen.
- Tandregulering er et tilbud, og efter samtalen kan I takke ja eller nej.






Aftagelige bøjler
Vi tilbyder aftagelige bøjler, når vi gerne vil udnytte væksten, f.eks ved stort overbid eller ved krydsbid.
En aftagelig bøjle kan være den eneste behandling. Andre gange kan det blive nødvendigt med en anden bøjle senere.
De aftagelige bøjler skal bruges hele tiden, og tages ud ved måltider, tandbørstning og evt. sport.
De aftagelige bøjler tilpasses individuelt til det enkelte barn.
Det tager ca. 2 uger at vænne sig til at tale almindeligt med en aftagelig bøjle. Derfor kan det være en god idé at informere lærere og kammerater.
Tænderne kan føles lidt ømme de første 2-3 dage. Ved nogle aftagelige bøjler kan kæbeleddene og de store tyggemuskler føles trætte eller ømme - lidt som at puste balloner op.
Desuden vil der være lidt større spytmængde i ca. 2 dage.
Bøjlerne skal børstes morgen og aften. De holdes rene med tandbørste og parfumefri sæbe eller opvaskemiddel. Man kan også bruge lidt tandpasta.
Der følger en bøjleboks med, som bøjlerne altid skal lægges i, når de ikke er i munden. Bøjleboksen skal altid medbringes, så bøjlerne ikke bliver væk, smides ud eller går i stykker.
Kontakt klinikken med det samme og tag bøjle og stumper med.
Der findes forskellige typer aftagelige bøjler. Læs mere om bøjletyperne her.
Fastsiddende bøjler
Brackets eller ”togskinner” bliver limet fast på tænderne. Oftest er det nødvendigt med fastsiddende bøjler i både overkæben og underkæben.



Det kan tage op til en uge at vænne sig til faste bøjler eller "brackets". Tænderne vil være ømme de første 2-3 dage, og det kan være rart med mad, der ikke skal tygges for meget.
Nogle har brug for almindelig smertestillende.
I starten kan der opstå en lille blæne eller et lille sår i slimhinden. Du får voks med hjem til at sætte på dine bøjler.
For at undgå at bøjlen går i stykker eller bliver løs, er det vigtigt, at du ikke spiser hårde og seje fødevarer som f. eks. karameller, vingummi, lakridser, bolsjer og slikkepinde.
Hårde madvarer som f.eks. gulerødder, æbler og pærer skæres i mindre stykker.
Det er vigtigt, at du børster tænder og bøjler grundigt rene morgen og aften. Ellers er der risiko for tandkødsbetændelse og skader på tænderne - eller i værste fald huller i tænderne.
Du får et tandbørstesæt udleveret sammen med en grundig instruktion, inden du forlader klinikken.
Vi tjekker altid din tandbørstning ved hvert kontrolbesøg.
Hvis vi ser, at der er begyndt at ske skader på dine tænder, kan vi være nødt til at afbryde behandlingen før tid.
Kontakt straks tandreguleringsklinikken.
Går bøjlen i stykker i weekenden eller i en ferien, kan du forsigtigt fjerne det løse ved at klippe tråden over med en negleklipper.
Generer det ikke, så lad det sidde og kontakt tandreguleringsklinikken. Du kan evt. dække den løse del med lidt voks.
Når du har takket ja til tandreguleringsbehandling, har du og dine forældre også givet accept til, at vi tager et røntgenbillede ca. hver 6. måned.
Vi tager røntgenbilleder for at kontrollere, om rødderne kan klare belastningen med faste bøjler.
Putty aftryk
Når de faste bøjler er klar til at komme af, så tages der putty-aftryk af bagsiden af fortænderne i overkæben og underkæben til små tråde. Tænderne skal støttes efter fast apparatur, ellers vil de f.eks blive skæve igen.
Den dag du kommer for at få bøjlerne af, limes de små tråde bag på fortænderne. Herefter fjernes bøjlerne og limen slibes af. Der tages et aftryk af overkæben til en støttebøjle.
Der tages desuden fotos af tænderne og ansigtet samt røntgenbilleder.
Retentionstråd – støtte til tænderne
Der limes ofte en tråd bag på fortænderne i overkæben og underkæben. De støtter tænderne, så de ikke bliver skæve igen.
Vi anbefaler at trådene bliver siddende ligeså længe man ønsker lige tænder.
Opdager du, at tråden er løs, skal du kontakte tandreguleringsklinikken, da tænderne ellers kan flytte sig.
Retentionsplade – aftryk til støttebøjle
Vi tager aftryk til en støttebøjle den dag, du får de faste bøjler af.
Den bruges efter de faste bøjler er fjernet for at sikre et tæt sammenbid og undgå, at tænderne bliver skæve.
Du starter med at bruge bøjlen hele tiden, og senere kun om natten.
Kontakt Tandregulering
Telefonen er åben mandag - fredag kl. 8-15
Vi har åbent mandag-fredag kl. 8-15
Sender du en besked med følsomme personoplysninger, så husk at sende sikkert med digital post. Har du ikke MitID, så kontakt os på telefon. Vi ser ikke digitale beskeder eller e-mails i uge 7.
Ring til os
Telefonen er åben mandag - fredag kl. 8-15
Åbent for behandling med tidsbestilling
Vi har åbent mandag-fredag kl. 8-15
Skriv sikkert
Sender du en besked med følsomme personoplysninger, så husk at sende sikkert med digital post. Har du ikke MitID, så kontakt os på telefon. Vi ser ikke digitale beskeder eller e-mails i uge 7.