Udstyr og materialer, som vi bruger ved fastsiddende bøjler
Fast bøjle er meget mere end bare selve “togskinnerne”. Bag tandretningen gemmer der sig en række avancerede hjælpemidler som elastikker, skruer, facemask og specialdesignede buer og bøjler.
Placeres mellem 6-års tænderne hvis der skal sættes et bånd rundt om 6-års tænderne.



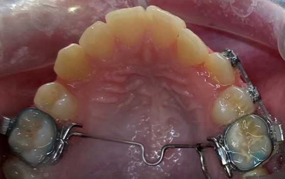
Sidder på tandbånd og ligger langs ganen, for at holde eller ændre på 6-års tænderne i overkæben. Desuden kan den holde eller øge tandbuens bredde.



Sidder på tandbånd og fiskestang bruges til at hjælpe hjørnetand frem og ned til tandbuen.



Små ”hylder” der limes bag de store fortænder i overkæben.
Bruges oftest sammen med faste bøjler for at undgå at der ikke bides på bøjlen (brackets) i underkæben.
Kan have forskellige størrelser og kræfter.
Bruges ofte sammen med fastsiddende apparatur til at gøre overbiddet mindre, kan også bruges til enkelttandskorrektioner, som f.eks. krydsbid.



Bruges ved et stort overbid.
Faste sektioner, der limes på tænderne og hjælper underkæben frem ved hjælp af teleskopstænger.
De bruges sammen med faste bøjler.
Bruges ved stort overbid.
Sidder fast på buerne i overkæben og underkæben, og hjælper underkæben frem.



Bruges til at udvide tandbuen i overkæben, f.eks. ved krydsbid.
Den er fastgjort til 6-års tænderne med 2 bånd.



En ståltråd der sidder på 6-års tænderne i underkæben og bruges til at holde på pladsen til en mindre kindtand, hvis mælketanden er tabt tidligt.
Det vil være nødvendigt at isætte separationselastikker ved 6-års tænderne.



Bruges til at udvide ganen.
Den limes fast på tænderne. Der skal skrues i midten af bøjlen, I får en grundig instruktion på tandreguleringsklinikken.
Der kan opstå lidt spænding ved tænderne, næsen og evt. mellem øjnene.
Ofte kommer der et mellemrum ved fortænderne i en periode.



Bruges ved underbid, hvor den hjælper overkæben frem.
Den bruges sammen med Hyrax og holdes på plads med elastikker.
Facemask bruges efter skole, aften og om natten.



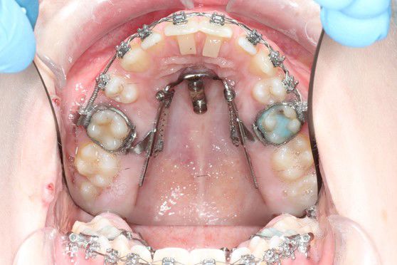
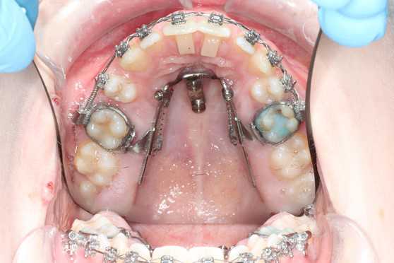
De indsættes i knoglen under lokalbedøvelse.
De kan sidde enten i den ene side eller i ganen.
Ved hjælp af skruerne kan man flytte enten en eller flere tænder uden at resten af tænderne belastes.


